Pentingnya Rontgen Gigi untuk Kesehatan Mulut
Cek Lebih Akurat & Nyaman di Esta Clinic Banjarmasin
Masalah gigi dan mulut sering kali tidak terlihat dari luar. Gigi tampak baik-baik saja, tapi ternyata di dalamnya sudah ada infeksi, gigi berlubang dalam, atau masalah pada akar gigi. Inilah alasan mengapa rontgen gigi menjadi pemeriksaan yang sangat penting dalam dunia kedokteran gigi modern.

Apa Itu Rontgen Gigi?
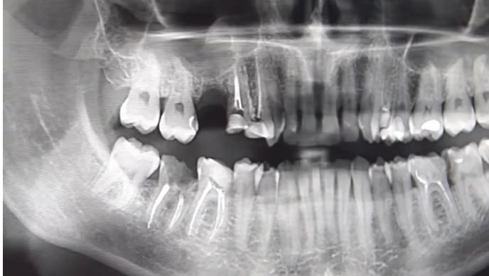
Rontgen gigi adalah pemeriksaan penunjang menggunakan sinar X untuk melihat kondisi bagian dalam gigi, akar gigi, tulang rahang, dan jaringan di sekitarnya. Pemeriksaan ini membantu dokter gigi mendapatkan gambaran yang lebih detail dan akurat sebelum menentukan tindakan.
Mengapa Rontgen Gigi Itu Penting?
Berikut beberapa manfaat utama rontgen gigi:
- Mendeteksi Masalah yang Tidak Terlihat
Gigi berlubang kecil, infeksi akar, gigi impaksi, hingga kista sering tidak terlihat saat pemeriksaan biasa. - Menentukan Diagnosis yang Lebih Akurat
Dengan rontgen, dokter bisa memastikan penyebab nyeri gigi, pembengkakan, atau keluhan lain secara tepat. - Membantu Perencanaan Perawatan
Rontgen sangat penting sebelum tindakan seperti:- Tambal gigi
- Perawatan saluran akar
- Cabut gigi
- Pemasangan behel
- Pembuatan gigi tiruan atau implan
- Mencegah Masalah Menjadi Lebih Parah
Deteksi dini berarti perawatan lebih ringan, lebih cepat, dan tentunya lebih hemat biaya.
Aman Kah Rontgen Gigi?
Aman. Rontgen gigi menggunakan radiasi rendah dan dilakukan sesuai standar medis. Di Esta Clinic, pemeriksaan dilakukan dengan alat modern dan prosedur yang aman, sehingga pasien tetap nyaman dan tenang.
Kenapa Harus Rontgen Gigi di Esta Clinic Banjarmasin?
Esta Clinic Banjarmasin menghadirkan layanan rontgen gigi dengan keunggulan:
✔️ Alat rontgen modern & hasil jelas
✔️ Proses cepat, tidak ribet
✔️ Ditangani dokter profesional & berpengalaman
✔️ Nyaman untuk dewasa maupun anak
✔️ Lokasi strategis di Banjarmasin
Hasil rontgen dapat langsung digunakan dokter untuk menjelaskan kondisi gigi pasien secara transparan dan mudah dipahami.
Kapan Sebaiknya Anda Melakukan Rontgen Gigi?
Segera lakukan rontgen gigi jika Anda mengalami:
- Nyeri gigi berkepanjangan
- Gusi bengkak atau bernanah
- Gigi tumbuh miring (terutama gigi bungsu)
- Rencana perawatan gigi lanjutan
- Pemeriksaan rutin untuk pencegahan
👉 Jangan tunggu sakit bertambah parah.
Yuk, lakukan rontgen gigi sekarang di Esta Clinic Banjarmasin dan dapatkan pemeriksaan yang lebih akurat untuk senyum sehat jangka panjang.


Leave a Reply